hyaDENT BG

Hyaluronsyrebasert behandlingsløsning av ikke-animalsk opprinnelse.

Hvorfor velge hyaDENT BG?

hyaDENT BG er en gel av cross-linket hyaluronsyre (xHyA). Det benyttes til bløtvevevskirurgi, guidet vevsregenerering (GTR) samt guidet benregenerering (GBR). Hyadent har riktig molekylærvekt for formålet, ikke animalsk fremstilt og optimalisert for bruk i munnhulen. Hyaluronsyre gelen kan brukes alene på det kirurgiske stedet i nærvær av blod, og i kombinasjon med andre biomaterialer (bein og membraner).

  • Raskere tilheling av vev
  • Fremmer periodontal regenerasjon
  • Stabiliserer koagelet og fremmer vevsregenerasjon i dental kirurgi
  • Bedre forutsigbarhet
  • Bakteriostatisk virkning og redusert patogenpenetrasjon.

Syv grunner til å benytte hyaDENT BG under inngrep i munnhulen

Økt forutsigbarhet

hyaDENT BG stabiliserer koagelet og tiltrekker seg vekstfaktorer for å støtte og akselerere dannelsen av hard og bløt-vev.

Raskere tilheling

hyaDENT BG støtter angiogenese og vevsdannelse over en lengre periode. Den spesielle formuleringen forblir til stede gjennom de ulike fasene av tilhelingsprosessen på grunn av det langsomme nedbrytningsmønsteret.

Reduserer risiko for infeksjon

hyaDENT BGs bakteriostatiske virkning reduserer inntrengning av patogener i operasjonsområdet.

Forbedret estetikk

hyaDENT BG reduserer dannelse av arrvev.

Bedre for pasienten

hyaDENT BGs molekylvekt reduserer hevelse og ubehag under tilhelingsfasen.

Brukervennlig

Påfør direkte på operasjonsstedet (i nærvær av blod), ikke skyll. hyaDENT BG kan kombineres med et hvilket som helst porøst beinsubstitutt for å forberede "sticky bone" på 3 minutter.

Optimalisering av egenskapene til andre biomaterialer

Når hyaDENT BG gel kombineres med graftmateriale forbedres de hydrofile egenskapene, samt volumstabilitet og remodellering. Når hyaDENT BG gel er belagt på en kollagenmembran, forlenges  barriereeffekten.

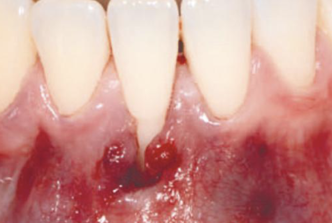
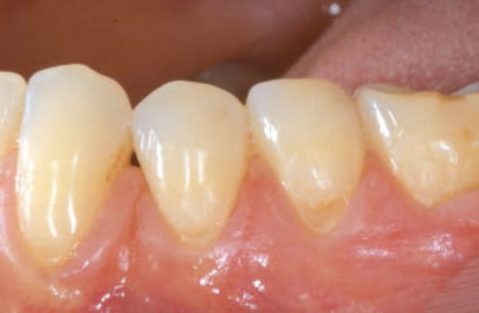
Kliniske kasus med hyaDENT BG Gingival recession (CAF)

Prof. Andrea Pilloni

Pre-operative
Debridement
Injection of the hyaDENT BG gel

Suturing
1 year post-operative

Gingival recession (tunnel)

Prof. Anton Sculean

Baseline
Tunnel
Mobilized Tunnel
Connective tissue graft (CTG)
Application of hyaDENT BG gel
Applied hyaDENT BG gel in the tunnel
Connective tissue graft fixed in the tunnel
Application of hyaDENT BG gel on the connective tissue graft
hyaDENT BG gel on laterally closed tunnel (stutured)
Outcome

Multiple recession coverage

Dr. Jürgen Pierchalla

Pre-operative Baseline
Surgery Open flap (CAF protocol)
Smartbrane coated with hyaDENT BG gel and folded

Suturing the flap
Post-operative
Post-operative2
9 month post-operative
Soft-tissue volume gain at 9 months post-op vs baseline
Cross-section at 9 months post-op vs baseline

Posterior gingival recession

Dr. Sofia Aroca

Diagnosis
Application of the xHyA gel
Surgery
Suturing
Outcome

Infrabony defect

Prof. Andrea Pilloni

Initial Situation - PPD of 10 mm
Initial Situation - PPD of 10 mm
Situation after flap preparation and thorough degranulation of defect
Defect filled with a mixture of hyaDENT BG and a bone filler
Defect filled with a mixture of hyaDENT BG and a bone filler
Situation 72h post-OP shows accelerated healing
Situation 72h post-OP shows accelerated healing
After 8 years

Guided bone regeneration

Prof. Darko Božić

Patient with a distal mandibular edentulous ridge requiring implant placement
Flap elevation revealed significant loss of ridge height and width
Edentulous ridge with significant loss of height and width
A small amount of autogenous bone was harvested leaving small cortical perforations
The autogenous bone was mixed with xenograft material saturated with hyaDENT BG
Placement and adaptation of the graft mixture onto the recipient site

The graft mixture was covered with a resorbable collagen membrane (SMARTBRANE) and fixed with pins
After 6 months
Implants of 4mm width were placed in the correct prosthetic positions
After 6 months

Tips om håndtering - Sticky bone

  • Bland 1/3 av hyaDENT BG gel med 2/3 av beintransplantasjonsmaterialet.
  • Vent i 3-5 minutter for å få et klebrig ben.
  • Blanding av sticky bone med hyaDENT BG og litt blod kan også bidra til å få et stivere «sticky bone.»

Periodontal kirurgi

Bruk stump nål /skyllekanyle for å unngå traumer på rotoverflaten (30/27G). Rengjør rotoverflaten (ikke nødvendig å forberede f.eks. med EDTA). Påfør direkte på såret i nærvær av blod (ikke nødvendig å arbeide på skyllet og tørr rotoverflate). Ikke skyll bort hyaDENT BG. Påfør hyaDENT BG på det suturerte området. Påfør hyaDENT BG på det palatinale donorstedet for å økt tilheling og redusering hevelse og smerte.

Hyadent finner du her